Nuestros Equipos
NOS PERMITEN OBTENER UN RESULTADO GARANTIZADO

Es un dispositivo versátil dotado de una gama completa de exámenes 2D y 3D para la odontología, ofrece múltiples exámenes volumétricos. |
NewTom GiANO HR

Es un pequeño dispositivo, potente y útil para obtener imágenes radiográficas digitales. De gran ayuda para el campo de la endodoncia. |
Radiovisiógrafo

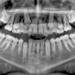
Es una valiosa herramienta para diagnósticos dentales de alta calidad y dosis bajas de radioación. |
New Tom RXDC X-VS

Es un software que ofrece múltiples modos de aplicación específicos para la implantología, endodoncia, periodoncia, cirugía maxilofacial y radiología. |
